446 Route 304, Suite D, Bardonia, NY 10954
Located inside the Bard Professional Building Suite D.
Request Appointment
Location
Let us help you get a beautiful smile!
(845) 623-4777
Our Office
446 Route 304
Suite D
Bardonia
,
NY
10954
(845) 623-4777
Visit Us Online
Home
About Us
Our Office
Our Staff
New Patients
Smile Gallery
Reviews
Dental Videos
Special Offers
Our Doctor
Services
Dental Cleanings
Emergency Treatment
Extractions
Night Guards
Oral Cancer Screening
Oral Exams
Pediatric Dentistry
Periodontal Treatment
Preventative Program
Root Canals
Sports Mouthguards
TMJ Disorders
All-on-6®
Crowns & Caps
Dental Bridges
Dental Fillings
Dentures
Implant Dentistry
Inlays & Onlays
Botox®
Ceramic Crowns
Cosmetic Dentistry
Teeth Whitening
Veneers
Laser Dentistry
Dental Health
Contact Us
Request Appointment
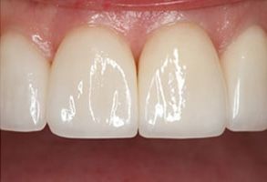
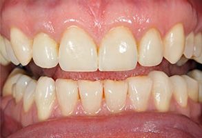
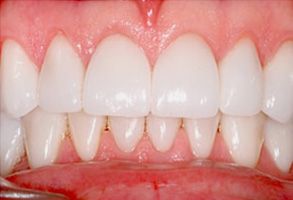
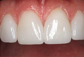
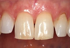
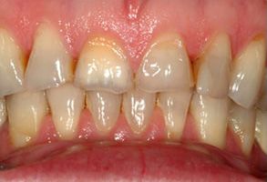
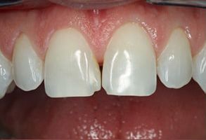
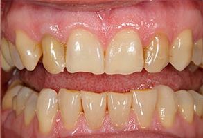
Dentistry Before and After Photos
Before
After
Before
After
Before
After
Before
After
Before
After
Before
After
Before
After
Our Office
446 Route 304
Suite D
Bardonia
,
NY
10954
(845) 623-4777
Visit Us Online
(845) 623-4777
© 2026 Louis Sinatra. All Rights Reserved. |
Accessibility Policy
Dentist Website Design